名家领航・心医智汇 | “心” 守护!王忠明教授团队成功开展不停跳冠脉搭桥术,家门口享顶级心外科诊疗
时间::2026/01/15 浏览:

近日,云南省曲靖中心医院心脏血管外科业务主任王忠明教授及团队成功为一名64岁重症冠心病患者实施不停跳冠状动脉搭桥(OPCABG)手术,以精湛技术破解“心”难题,标志着医院心脏外科诊疗水平迈上新台阶。
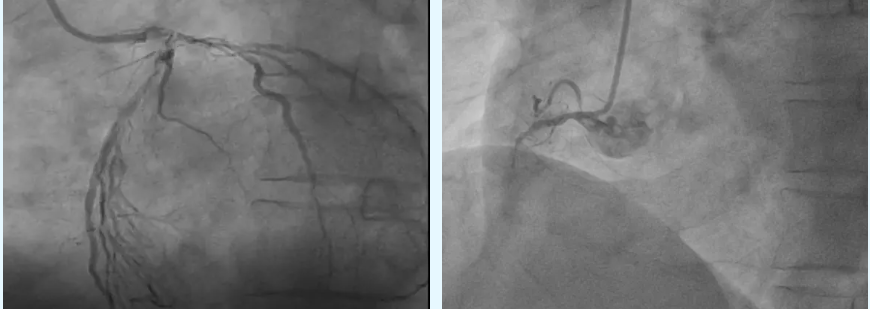
患者因反复心前区疼痛入院,一个月前曾发作急性心肌梗死,冠脉造影显示心脏三支主要血管重度狭窄,常规介入治疗已难以解决。经多学科会诊及充分术前准备,王忠明教授决定采用不停跳冠状动脉搭桥(OPCABG)方案。术中,团队取患者自身乳内动脉、大隐静脉作为桥血管,在心脏持续跳动的状态下,通过心脏固定器精准完成血管桥接,为心脏重建供血通道。在麻醉科、重症医学科等多学科医护团队密切配合下,手术顺利完成,患者术后一天便拔除气管插管转入普通病房,恢复良好,症状显著改善。相较于传统心脏停跳搭桥手术,不停跳冠状动脉搭桥(OPCABG)无需体外循环支持,避免了心脏停跳可能导致的心肺功能、肝肾功能及大脑功能潜在损害,不仅拓宽了冠脉搭桥手术的适应症,更具备三大核心优势:一是创伤更小,省去传统手术大切口及体外循环相关操作,有效减轻患者身体损伤;二是恢复更快,术后患者可更早开展康复训练,加速回归正常生活节奏;三是并发症更少,大幅降低术后心肺功能不全、肝肾功能损害等不良事件的发生率,为患者康复筑牢安全防线。作为云南省心脏外科领域标杆人物,王忠明教授深耕行业多年,曾任职于多家三甲医院心外科主任,主刀各类心脏手术超万例。他先后赴美国、德国、新加坡等国顶尖医学中心交流学习,将国际前沿技术与中国患者实际需求深度结合,形成了兼具精准性与实用性的诊疗体系,以实打实的技术实力赢得了患者 “性命相托” 的信赖。如今,无需跨省奔波,在曲靖就能享受到国内顶级心外科服务。无论是先天性心脏病患儿、冠心病及心肌病变中老年人,还是需心脏瓣膜修复/ 置换的重症患者,或是受外周血管疾病、缩窄性心包炎等罕见病困扰的人群,均可在云南省曲靖中心医院获得王忠明教授团队量身定制的诊疗方案,大幅节省时间与经济成本。心脏健康无小事,及时诊疗是关键。王忠明教授以精湛医术为曲靖及周边地区群众筑牢“心”防线,让更多患者在家门口就能抓住“心”生希望,守护生命健康。医院将持续生动践行“着力打造一所‘无差别诊疗’的品质医院,一所自己父母不找熟人也能舒心看病的一流医院”的院景。不断提升医疗技术水平与服务质量,为广大心血管疾病患者提供更优质、高效的医疗服务,助力推进区域心血管疾病防治事业高质量发展。